网站首页

典型案例

退行性膝关节炎

东莞扶正堂中医门诊部治疗退行性膝关节炎视频前后对比[详情]

肩周炎

东莞扶正堂中医门诊部治疗肩周炎视频前后对比[详情]

踝关节扭伤

东莞扶正堂中医门诊部踝关节扭伤现场治疗视频[详情]

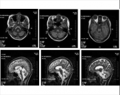
小脑萎缩

东莞扶正堂中医门诊部小脑萎缩治疗前后对比[详情]

肩周炎

东莞扶正堂中医门诊部治疗肩周炎视频前后对比[详情]

扶正堂专家团队
收缩
扶正堂在线客服
  • 清溪:0769-87322222
    预约电话:18027573801
    (东莞市清溪镇埔星西路8号)
  • 清溪在线客服
  • 南城:0769-88009168
    预约电话:18122872217
    (南城区簪花路达鑫龙庭108号)
  • 南城在线客服